I’m 22 and About to Have Brain Surgery
Started 2 days ago
Open end-date
About This Campaign
Hi, my name is Zoë. I’m 22 years old and I’m currently a law student, or I was, until my life changed completely.
Not long ago, I started experiencing severe, persistent headaches. At first, I thought it was stress from university and exams. I tried to push through, hoping it would pass.
But the pain didn’t stop. It got worse every day.
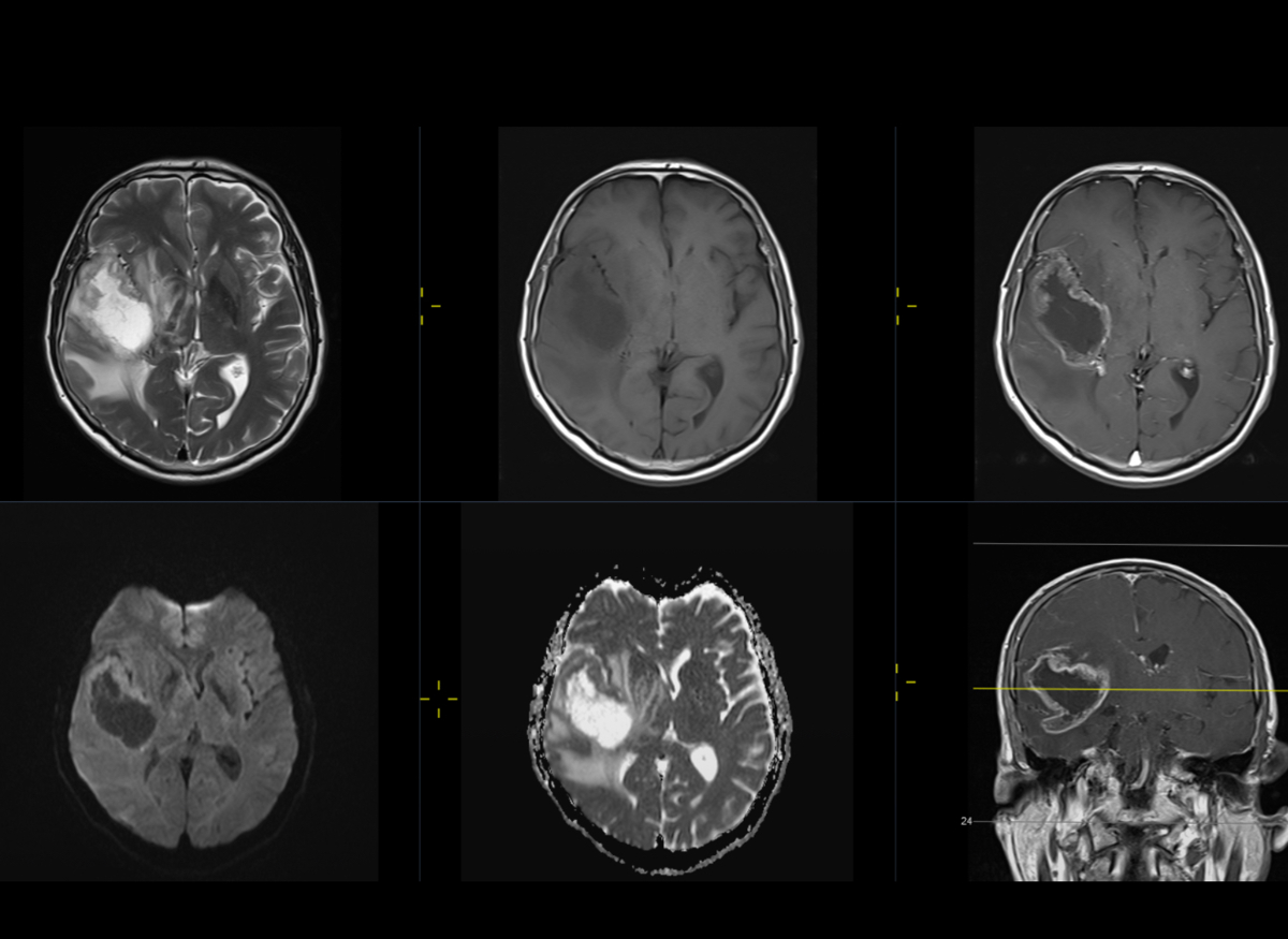
Eventually, I went for medical help and was advised to have a scan.
That scan changed everything.
I was diagnosed with glioblastoma, an aggressive and fast-growing form of brain cancer.
In that moment, my entire future shifted.
I have had to pause my law studies, and I also lost my bursary, something I worked incredibly hard for and that meant so much to me.
Right now, I am preparing for brain surgery to remove as much of the tumour as possible. It is a frightening and overwhelming time for me and my family, as we face both the emotional and physical challenges ahead.
Even with surgery, the journey is far from over. There will still be ongoing treatment, recovery, and regular medical care.
Donations
Make Your Donation
Kindness can transform the world around us. Amazing things happen when people come together! Make a donation to this cause, share it with people you know, and you may ignite the generosity in others.
